Edentate zones komen voor bij mensen van alle leeftijden. Bij de oudere patiënten zijn cariës en parodontale aandoeningen vaak de oorzaak van verlies van gebitselementen. Bij de jongere patiënten gaat het om de gevolgen van trauma, atopische eruptie, ontwikkelingsstoornissen (zoals amelogenesis imperfecta) en agenesie. Bij de jonge patiënten is een definitieve prothetische behandeling, waaronder implantatie, geen gewenste oplossing. Doordat er nog sprake is van faciale en alveolaire groei moeten de ontbrekende elementen worden vervangen door tijdelijke oplossingen, met geregelde aanpassingen aan de veranderingen in dentitie en groei. Wanneer na het eind van de groei wel een definitieve prothetische behandeling mogelijk is, vormen de hoge kosten vaak een belemmering (afbeelding 1-4). Autotransplantatie is in deze situaties een zeer goede behandelmethode vanwege de grote voordelen die het met zich meebrengt. Autotransplantatie kan een effectief en goedkoop alternatief zijn voor implantaten, op voorwaarde dat er een geschikt donorelement aanwezig is.
Indicatie
De voordelen van autotransplantatie als behandelmethode ter vervanging van een verloren gebitselement bij de jongere patiënten zijn vergeleken bij andere prothetische behandel methode zeer groot. Verschillende studies tonen aan dat transplantaties even succesvol zijn als implantatie. De belangrijkste verschillen in het voordeel van transplantatie zijn de kostprijs en de mogelijkheid om verdere botgroei toe te laten. Getransplanteerde gebitselementen erupteren in hetzelfde tempo als de buurelementen en zorgen daarbij voor alveolaire opbouw en verdere uitgroei van maxilla en mandibula. Het transplantaat heeft een eigen parodontaal ligament waardoor proprioceptie mogelijk is. Ook de zachte weefsels rond de kroon hebben meer kans op een goede esthetiek omdat de interdentale papillen behouden blijven. Vergelijk dit met een mogelijke verlaging ervan bij implantaten.
- 1. Bij een 23½- jarige vrouw raakt de persisterende 75 in infra-occlusie en resorberen de wortels van het melkelement steeds verder.
- 2. Na verlies van de 75 wordt besloten de wat kleinere 48 te transplanteren naar de locatie van de 35.
- 3a. Direct na het moment van transplanteren is de 48 op de receptorlocatie gefixeerd met een matrashechting die kruislings over het occlusievlak loopt. Daarnaast de solo van datzelfde moment. (Met dank aan dr. D.S. Barendregt)
- 3b. Direct na het moment van transplanteren is de 48 op de receptorlocatie gefixeerd met een matrashechting die kruislings over het occlusievlak loopt. Daarnaast de solo van datzelfde moment. (Met dank aan dr. D.S. Barendregt)
- 4a. De röntgenfoto van het moment van transplantatie en een foto 4 jaar later. Het element is verder geërupteerd, de wortelformatie is doorgegaan en de pulpaholte is geoblitereerd in het gedeelte dat afgevormd was bij transplantatie.
- 4b. De röntgenfoto van het moment van transplantatie en een foto 4 jaar later. Het element is verder geërupteerd, de wortelformatie is doorgegaan en de pulpaholte is geoblitereerd in het gedeelte dat afgevormd was bij transplantatie.
In de tabel op de linkerpagina is een vergelijking gemaakt tussen autotransplantatie van in ontwikkeling zijnde premolaren en single-tooth implantaten na het verlies van een incisief in de bovenkaak (afbeelding 5 t/m 9). Daaruit kan men concluderen dat autotransplantatie een behandelmethode is die zeker de moeite waard is tijdens de groei en in de esthetische zone.
De meest voorkomende reden om te kiezen voor een autotransplantatie is als er een donorelement aanwezig is met een wortelontwikkeling in stadium 3 tot 4 (volgens Paulsen en Andreasen, schema 1). Als donorelement denken we voornamelijk aan de 2e premolaren en de 3e molaren.
Schema 1. Voorspelling van een optimale ontwikkeling van de wortels, pulpale overleving en parodontale genezing (zonder wortelresorptie) in relatie tot het stadium van ontwikkeling van de wortels op het moment van transplantatie. De grafiek is gebaseerd op de resultaten van een langetermijnstudie van 370 geautotransplanteerde premolaren.
De meest voorkomende aanleidingen om te kiezen voor autotransplantatie met donorelementen worden hieronder beschreven.
- 5a. De occlusie van een 14-jarig meisje dat een schommel tegen de 21 heeft gekregen en die na enige tijd een bruingele verkleuring vertoont.
- 5b. De occlusie van een 14-jarig meisje dat een schommel tegen de 21 heeft gekregen en die na enige tijd een bruingele verkleuring vertoont.
- 6a. Het occlusale aanzicht van het gipsmodel van de onder- en bovenkaak toont een aanzienlijk ruimtegebrek, met name in de regio 44-45.
- 6b. Het occlusale aanzicht van het gipsmodel van de onder- en bovenkaak toont een aanzienlijk ruimtegebrek, met name in de regio 44-45.
- 7. Na overleg met de endodontoloog wordt besloten de 21 te extraheren en de 45 naar de locatie van de 21 te transplanteren.
- 8. Na voltooiing van de orthodontische behandeling en het vervaardigen van een ultra-thin laminate veneer is dit het eindresultaat. (Met dank aan collega B.I. Albrecht)
- 9. Het occlusale aanzicht van de getransplanteerde 45 met de veneer een een bonded retainer door de centrale fissuur om uitgroei te voorkomen. (Met dank aan collega B.I. Albrecht)
Trauma
Tandverlies na traumatische oorzaken komt voornamelijk bij jongere patiënten relatief veel voor. Het trauma kan een onmiddellijk tandverlies als gevolg hebben (avulsie) of een zodanige complicatie geven dat de prognose op langere termijn slecht is.
Verlies van een van de maxillaire centrale incisieven is een zeer vaak voorkomend trauma. 1 op de 10 jonge patiënten (in de leeftijd tussen 7 en 12 jaar) heeft ermee te maken. Voor de huistandarts is het daarom van groot belang om door middel van een protocol het gevolg van het trauma op de incisieven in de gaten houden door middel van klinische testen en
röntgenfoto’s. De indertijd ontwikkelde ‘Richtlijn traumatologie’ biedt hier een goed houvast (afbeelding 11 t/m 14).
- 10. Bij een jongeman van 19½ jaar is na een trauma op jonge leeftijd de wortel van de 11 als gevolg van vervangingsresorptie grotendeels verdwenen.
- 11a. Op de intraorale röntgenfoto van de 11 is nauwelijks meer een wortel zichtbaar en het element schemert sterk grijs en roze door.
- 11b. Op de intraorale röntgenfoto van de 11 is nauwelijks meer een wortel zichtbaar en het element schemert sterk grijs en roze door.
- 12. De 18 is sterk gereduceerd. De endodontoloog hoopt dat de wortelformatie nog niet voltooid is.
- 13. Tot grote opluchting van de endodontoloog blijkt de 18 nog over een behoorlijk open apex te beschikken. Besloten wordt om de 18 naar de locatie van de 11 te transplanteren.
- 14a. De 18 wordt na transplantatie net als een normaal element orthodontisch verplaatst en komt uiteindelijk keurig in het diasteem te staan.
- 14b. De 18 wordt na transplantatie net als een normaal element orthodontisch verplaatst en komt uiteindelijk keurig in het diasteem te staan.
Ontwikkelingsstoornissen
Bij de aanleg, ontwikkeling en groei van de tandkiemen kunnen ontwikkelingsstoornissen ervoor zorgen dat gebitselementen ontbreken (agenesie) of een slechte prognose hebben (amelogenesis imperfecta). De afwezigheid van premolaren is in 7,9% het geval, waarvan 2e premolaren in de mandibula het meest voorkomend. Ook de laterale incisieven ontbreken,
zij het in mindere mate (2-4%).
Orthodontie
Vaak wordt de orthodontische behandeling gecombineerd met een of andere vorm van agenesie of tandverlies. Een veel voorkomend geval is agenesie van een premolaar in de mandibula bij een disto-occlusie. Bij een disto-occlusie kan een premolaarextractie in de maxilla een overweging zijn om uiteindelijk te streven naar een neutro-occlusie op de cuspidaten en een goede interdigitatie in de zijdelingse delen. Deze premolaren zijn, wanneer de apices nog niet zijn afgevormd, perfecte donorelementen voor autotransplantatie.
- 15. Deze jongedame komt op 13½-jarige leeftijd bij de orthodontist vanwege crowding en een disto-occlusie. De agenesie van de 35 en 45 zijn hier een toevalsbevinding.
- 16a. De distoocclusie en de overige orthodontische aspecten rechtvaardigen hier extractie van de 15 en 25.
- 16b. De distoocclusie en de overige orthodontische aspecten rechtvaardigen hier extractie van de 15 en 25.
- 17a. Na röntgenologische follow-up zijn de 15 en 25 ver genoeg afgevormd om getransplanteerd te worden.
- 17b. Na röntgenologische follow-up zijn de 15 en 25 ver genoeg afgevormd om getransplanteerd te worden.
- 18a. Na 1 jaar. De getransplanteerde 15 en 25 op de locatie van de 35 en 45. De obliteratie begint op gang te komen.
- 18b. Na 1 jaar. De getransplanteerde 15 en 25 op de locatie van de 35 en 45. De obliteratie begint op gang te komen.
Maar ook bij atopische eruptie van een element (vaak de cuspidaat) en het verplaatsen van een element over een grotere afstand kan men denken aan autotransplantatie. Op die manier ontstaan nieuwe orthodontische mogelijkheden (afbeelding 15 t/m 18).
Extracties
Gebitselementen kunnen verloren gaan als gevolg van cariës, parodontale of endodontische problemen. Hierbij is het verloren gaan door cariës de meest voorkomende (eerste molaren). Bij het vervangen van deze verloren elementen of elementen met een slechte prognose is de derde molaar waarvan de apices nog niet zijn afgevormd, vaak een goed donorelement (afbeelding 19 t/m 22).
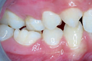
- 19. Een 15½-jarige jongedame met een fraaie ondertandboog en grote restauraties in de 36 en 46.
- 20. Beide elementen blijken ondanks een eerdere wortelkanaalbehandeling nog steeds een parodontitis apicalis te vertonen. Besloten wordt om de in ontwikkeling zijnde 38 en 48 te transplanteren naar de locatie van de 36 en 46.
- 21. De 38 en 48 vier weken na transplantatie in situ.Wanneer men niet beter wist hadden deze zessen er altijd gestaan!
- 22. Het occlusale aanzicht van de onderkaak na afbehandeling.
Conclusie
Autotransplantatie is een behandelmethode die voor de algemeen practicus zeer de moeite waard is in overweging te nemen. Bij jonge patiënten bij wie donorelementen aanwezig zijn met een wortelvorming in Morrees stadium 3 tot 4 en bij wie eventueel sprake is van een orthodontische behandelbehoefte, heeft het zelfs de voorkeur ten opzichte van elke
andere prothetische behandeling, inclusief implantaten.
Van groot belang hierbij is de timing. Tijdens het periodiek mondonderzoek bij jonge patiënten moet men alert zijn op een eventuele aanwezigheid van agenesieën. Een aanbeveling is om standaard een OPT te maken bij 9-10-jarigen (eventueel een bwp in combinatie met solofoto’s). Als er sprake is van een agenesie (trauma, amelogenesis imperfecta, etc.) is het van belang om de wortelvorming van de premolaren in de gaten te houden, in combinatie met de eventueel aanwezige malocclusie. Dit vanwege het feit dat het slagingspercentage van autotransplantatie groter is als deze geschiedt bij een onafgevormde apex en dat het getransplanteerde element na 6 weken orthodontische bewogen wordt.
Naast transplantatie van donorelementen met onafgevormde apices is het ook mogelijk om elementen te transplanteren met afgevormde apices (nadat deze eerst endodontologisch behandeld zijn). Bij het maken van uitgebreide behandelplannen bij de volwassen patiënt is ook hier autotransplantatie een optie.































